scikit_image==0.12.3
numpy==1.12.0
matplotlib==2.0.0
scipy==0.18.1
Keras==2.0.4
Pillow==4.1.1
skimage==0.0
scikit_learn==0.18.1
.
├── codes
│ ├── evaluation.py
│ ├── inference.py
│ ├── model.py
│ ├── train.py
│ ├── utils.py
├── data
│ ├── DRIVE
│ └── STARE
├── evaluation
│ ├── DRIVE
│ └── STARE
├── inference_outputs
│ ├── DRIVE
│ └── STARE
├── pretrained
│ ├── DRIVE_best.h5
│ ├── DRIVE_best.json
│ ├── STARE_best.h5
│ ├── STARE_best.json
│ ├── auc_pr_STARE.npy
│ ├── auc_roc_DRIVE.npy
│ ├── auc_roc_STARE.npy
│ └── auc_roc_pr_DRIVE.npy
└── results
├── DRIVE
└── STARE
codes : source codes
data : original data. File hierarchy is modified for convenience.
evaluation : quantitative and qualitative evaluation.
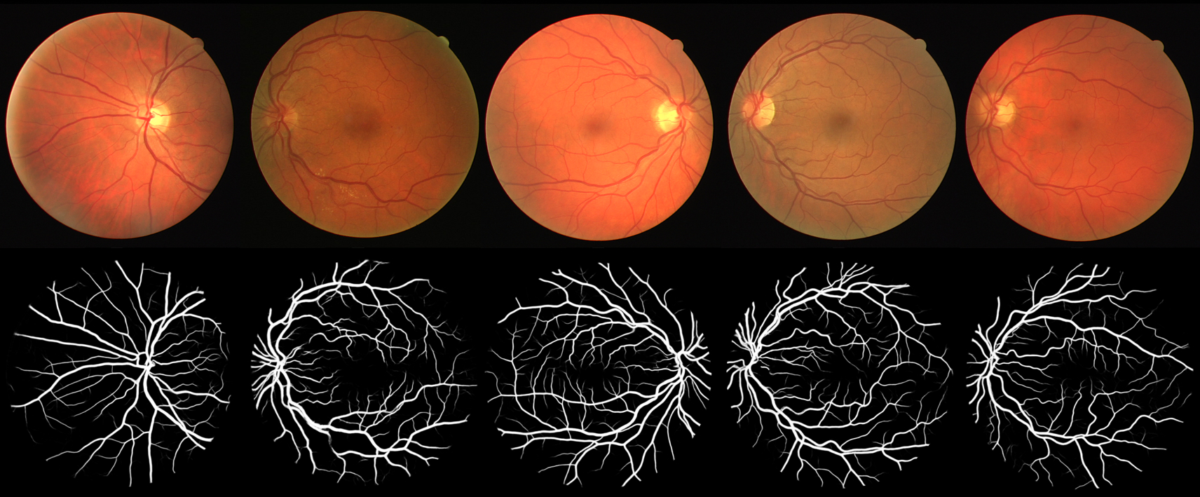
inferenced_outputs : outputs of inference with our model
pretrained : pretrained model and weights
results : results of other methods. These image files are retrieved from here
Move to codes folder and run train.py
python train.py --ratio_gan2seg=<int> --gpu_index=<int> --batch_size=<int> --dataset=[DRIVE|STARE] --discriminator=[pixel|patch1|patch2|image]
ratio_gan2seg : trade-coefficient between GAN loss and segmentation loss
gpu_index : starting index for gpus to be used
batch_size : number of images per a batch
dataset : type of a dataset (DRIVE or STARE)
discriminator : type of a discriminator (pixel or patch1 or patch2 or image)
CAVEAT
Training with the current codes requires main memory more than 50 GB and GPUs dedicated to Deep Learning. If no such system is available, it is recommended to use pre-trained model only for inference.
Move to codes folder and run inferency.py
python inference.py
Outputs of inference are generated in inference_outputs folder.
Move to codes folder and run evaluation.py
python evaluation.py
Results are generated in evaluation folder. Hierarchy of the folder is
.
├── DRIVE
│ ├── comparison
│ ├── measures
│ └── vessels
└── STARE
├── comparison
├── measures
└── vessels
comparison : difference maps of our method
measures : ROC and PR curves
vessels : vessels superimposed on segmented masks
This is under the MIT License
Copyright (c) 2017 Vuno Inc. (www.vuno.co)
